Unveil the Confidence in Your Smile
with Clear Aligners
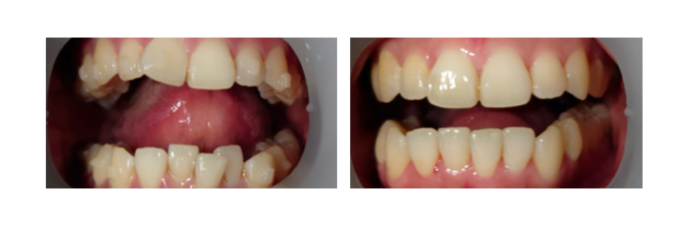
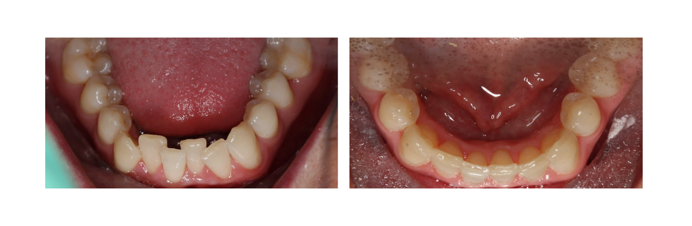
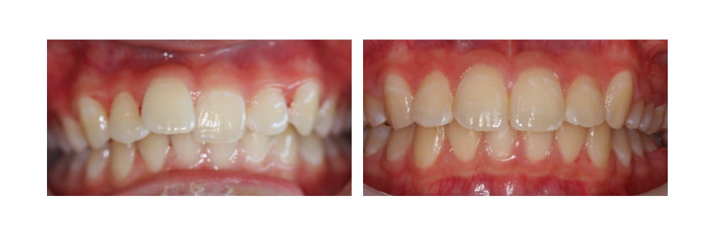
Clear Aligners
Are you looking to get that million-dollar smile but are put off by the visibility of braces?
Clear aligners may be the solution for you. As an orthodontic treatment, clear aligners gradually
move your teeth into proper alignment without the need for traditional braces.
Clear aligners may be the solution for you. As an orthodontic treatment, clear aligners gradually
move your teeth into proper alignment without the need for traditional braces.




