Missing a tooth or two? A dental bridge can do more than restore your smile—it can bring back your confidence and comfort. At Maidstone Dental, we offer seamless, natural-looking dental bridges designed to blend in beautifully with your existing teeth.
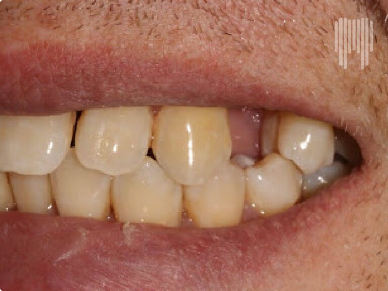
A dental bridge quite literally bridges the gap left by missing teeth. It’s made up of one or more false teeth held in place by crowns on either side. The result? A complete, functional smile that looks and feels natural.
If you’re missing a tooth (or several), a dental bridge might be your best option—especially if you want a solution that doesn’t require surgery like implants.
The best way to find out? Book a check-up with our friendly team.
Dr. Marcus is the best dentist I ever had he is kind, calm and he was really gentle with my teeth, I highly recommend him . The clinic is really nice, the lady at the reception is really nice. Definitely the best clinic!
Dr. Marcus is fantastic. He is kind, calm and extremely gentle with my teeth, I couldn’t recommend him more for someone who is scared of the pain associated with dental appointments. The clinic is a bit on the pricey side but it’s worth it for the service. And a TV on the roof is cool too lol.
Dr Tu Anh Pham is the best dentist I have ever had. She explains things well and makes sure you know what is happening throughout your appointment. She is also the gentlest dentist I have ever been to! I highly recommend her - especially for people who don’t like going to the dentist!
Best dental experience I have ever had. The clinic have a really holistic approach to dental with weighted blankets and a Tv screen on the roof when you recline to watch calming nature documentaries. Would definitely recommend if you are anxious about going to the dentist!
I had Marcus for the first time as my dentist and he was so nice and calm. He voice is so soothing and knows what he is doing. He listens and understands the customers needs and has a excellent helper on the side! Vanessa was also a brilliant lady, helping Marcus with cleaning and assisting the mouth. Lovely experience for the first time too and will definitely come back for a check-up again in a few months.